Leishmaniosis is no longer just a disease of southern Europe – it’s increasingly being diagnosed in cats and dogs across the UK. But are veterinary professionals and pet owners ready for this growing challenge?
🦟 How Is Leishmaniosis Transmitted?
The main route of transmission for Leishmania infantum is through the bite of infected female sandflies. When a sandfly feeds on an infected animal, it ingests parasites that later multiply in its gut and can be passed on during subsequent bites.
Although the sandfly vector is not yet established in most parts of the UK, isolated populations have been detected in southern Europe, and climate change may expand their range northward.
A Decade of Data: The Numbers Are Rising
A recent 2025 study by Checa et al. analysed diagnostic data from UK veterinary labs and clinics (2010–2022) and revealed a steady increase in Leishmania infantum antibody detections.
Around 40% of tested dog samples returned positive results, with seropositivity rising sharply between 2013 and 2022.
Key risk factors identified included:
- Dogs aged 3–6 years
- Certain breeds, such as Pointers and crossbreeds
- Neutered animals
- Residence in Southeast England
Notably, half of the dogs studied had travelled to or been imported from southern Europe; mainly Cyprus, Greece, and Spain.
Recognising and Diagnosing Canine Leishmaniosis
Typical signs include:
- Skin lesions and lymphadenopathy
- Joint and eye issues
- Occasionally renal dysfunction
Because these signs are non-specific, rapid and accurate diagnosis is key.
PCR testing splenic, bone marrow or lymph node aspirates or peripheral blood offers fast, sensitive detection. For example, the PCR assay developed by [Zytca Animal Health](STEPHAN Web site link? the product code is QCL UlfaQ(TM) Canine Leishmania) allows for early and reliable identification, guiding timely treatment. Conjunctival swabs, whilst possible, show a lower sensitivity for detection of amastigotes.
👉 Regular screening of at-risk dogs and monitoring imported or travelled animals are crucial for control and prevention.
🐱 Feline Leishmaniosis: The Emerging Frontier
Although less common, feline leishmaniosis is an emerging concern in the UK. A 2021 review by Pereira & Maia highlighted that cats, while generally less prone to clinical disease, can still harbour persistent infections.
Which cats are most at risk?
- Those originating from Mediterranean countries or Brazil
- Cats with skin disorders and elevated globulins
Because cats often have parasitaemia without a strong antibody response, PCR testing is more sensitive than serology. Though rare, feline seropositivity in UK populations is estimated at around 1%
Taking Action: What Vets and Owners Can Do
With both canine and feline cases on the rise, early action saves lives. Veterinary teams and pet owners should prioritise:
- Routine screening of imported and travelled pets
- Prompt PCR testing for animals showing compatible signs
- Consistent follow-up and monitoring of treated cases
Leishmania infantum is a zoonotic parasite, meaning it can infect humans as well as animals. While human cases in the UK remain rare, the presence of infected dogs and potentially competent sandfly vectors due to climate change – increases the risk of local transmission in the future.
Early detection and appropriate treatment not only improve outcomes but also help limit disease spread.

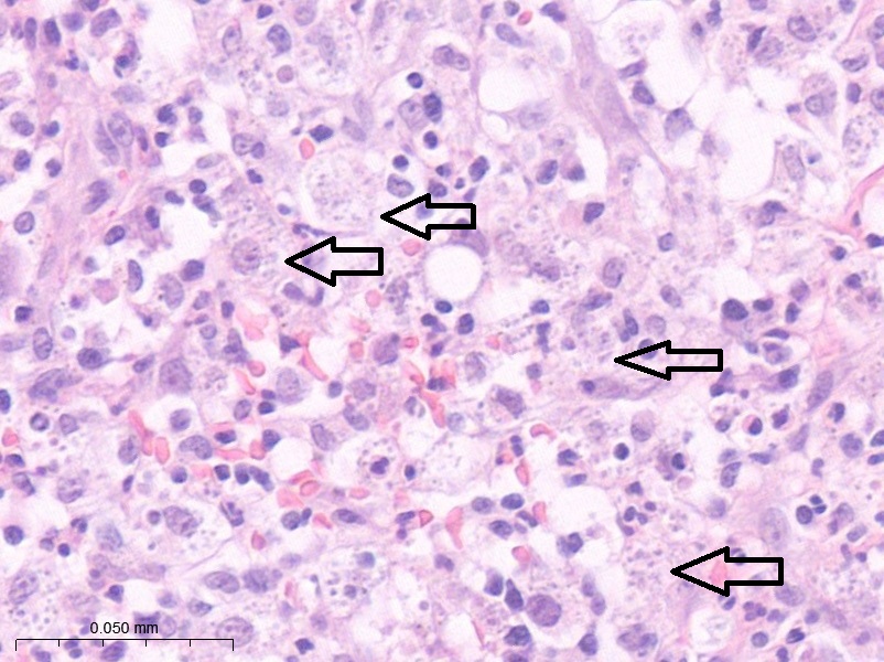
Image 1: Lymph node biopsy. Lymphadenitis with Leishmania sp. amastigotes within aggregates of macrophages in a dog confirmed as PCR-positive in the UK. (H&E, x40 magnification).
REFERENCES:
Checa R, Sánchez-Vizcaíno F, Miró G, Pinchbeck G, Jones H, Noble PJ, Radford AD. (2025). Updating the epidemiology of canine leishmaniosis in the United Kingdom through the use of electronic health data. Vet Parasitol, 333:110350.
Pereira A, Maia C. (2021). Leishmania infection in cats and feline leishmaniosis: an updated review with a proposal of a diagnosis algorithm and prevention guidelines. Curr Res Parasitol Vector Borne Dis, 1:100035.
Baharak A, Ali M, Mahshid M, Mohamad ZA, Iraj S, Mohammad AH, Reza K, Pooneh H, Azimeh B, Nasim S, Alireza K, Kakooei S. (2025) Advancing diagnosis of feline Leishmania infantum infection through experimental insights. Sci Rep. Apr 10;15(1):12283. doi: 10.1038/s41598-025-96698-w.